
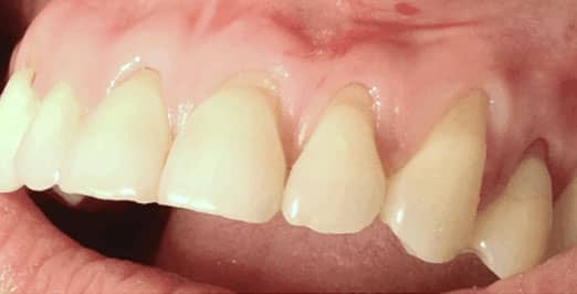
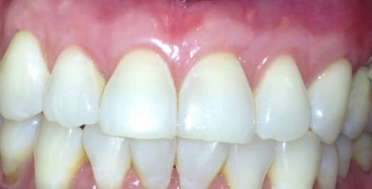
Tratamiento
Tratamiento de recesiones gingivales (retracción de encías) mediante técnica de injertos de tejido conectivo.
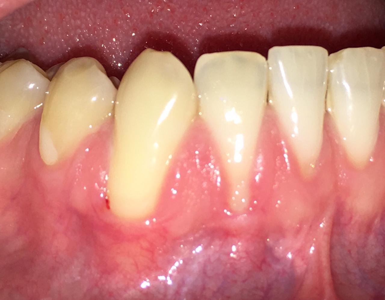
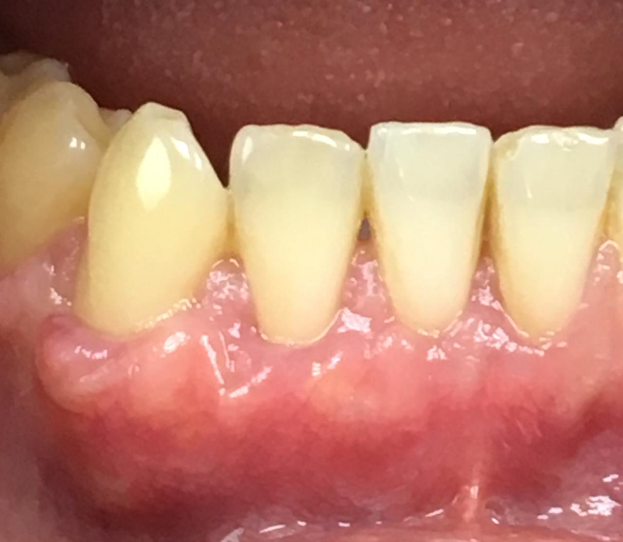
Caso 1

Antes

Después
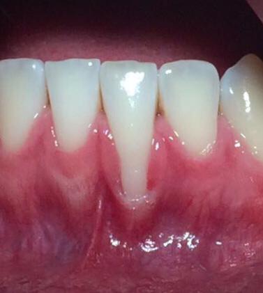
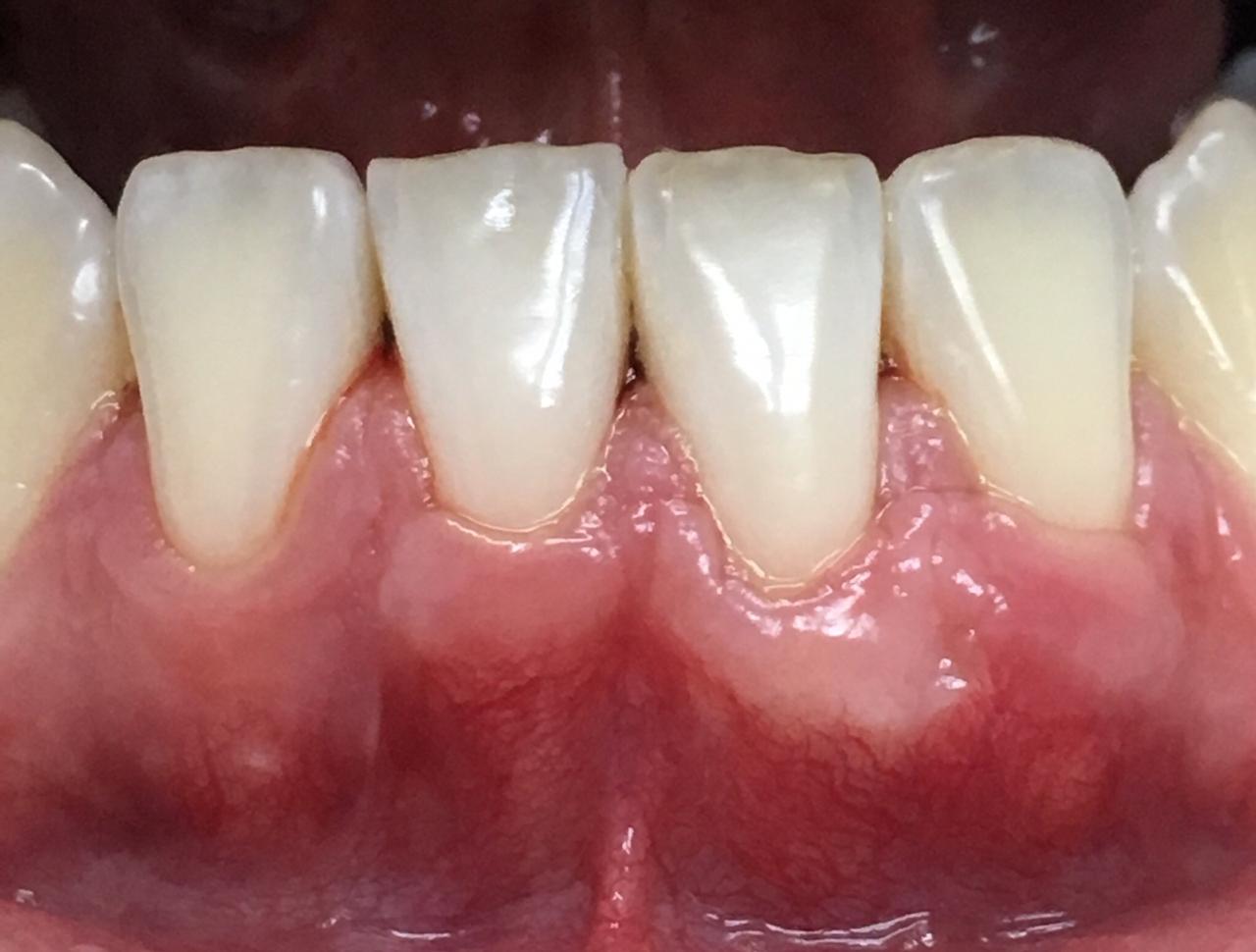
Caso 2

Antes

Después
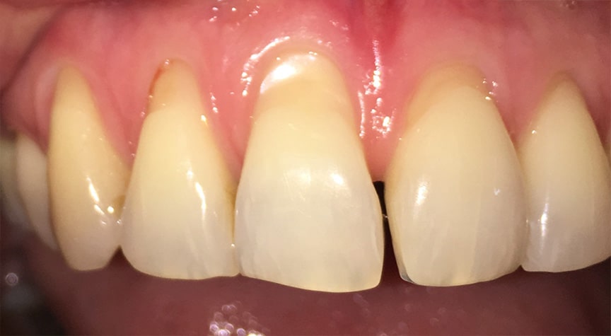
Tratamiento
Tratamiento de recesiones gingivales (retracción de encías) mediante técnica de matriz dérmica acelular
Caso 1

Antes

Después
Caso 2

Antes

Después
Caso 3

Antes

Después